Molluskat – yleinen ja vaaraton ihosairaus lapsilla
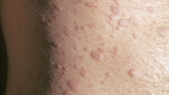
Molluskat ovat pyöreitä, vaarattomia näppylöitä iholla....
Molluskat ovat pyöreitä, vaarattomia näppylöitä iholla....
Crohnin tauti on krooninen tulehduksellinen suolistosai...
Huimauksella tarkoitetaan huimauksen tunnetta ja tasapa...
A-, B-, C- ja D-vitamiini vähentävät yhdessä liikunnan ...
Säännölliset hammaslääkärikäynnit auttavat sinua saamaa...
Kilpirauhanen ohjaa aineenvaihduntaa. Huonosti toimivan...
Makuuhaava on paikallinen muutos ihossa tai sen alaises...
Vihurirokko on hyvin tarttuva virussairaus. Vihurirokko...
Prostatiitti-sanaa käytetään yhteisnimityksenä kaikista...
Tali-ihottuma eli seborrooinen ekseema on hyvin tavalli...